Цены
Процедура противопоказана в период ОРВИ, а также беременным женщинам.
* Условия акций указаны в разделе «Акции».
** Цены и акции, размещённые на сайте не являются публичной офертой. Цены и услуги предоставляются в соответствии с размещенным на сайте прейскурантом платных медицинских услуг.
*** Цены на услуги стоматолога указаны с учётом максимальной скидки и оплаты в течение 2-х дней с момента прохождения первичной консультации.
**** Стоимость имплантов указана без учёта стоимости анестезии, формирователя десны, элементов протезирования, коронки/протеза. Полную стоимость имплантации можно уточнить на первичной консультации врача после диагностики.
Преимущества коронок на импланте
- Не требуют обточки и депульпирования соседних здоровых зубов.
- Восстанавливают эстетические и жевательные функции зубного ряда.
- Циркониевые коронки сохраняют цвет и прозрачность на протяжении всего срока эксплуатации, поэтому идеальны для зоны улыбки.
- Металлокерамика –– бюджетный вариант протезирования жевательных зубов.
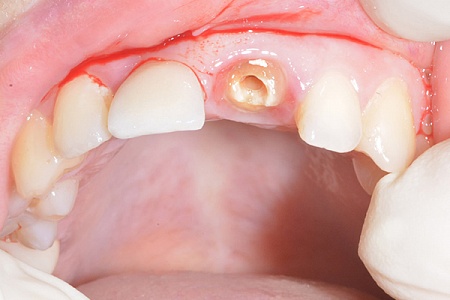
Как проходит установка коронки на импланте
- Протезирование начинается с установки импланта на место удаленного зуба.
- После заживления устанавливается абатмент. Затем врач снимает слепки и отправляет их в зуботехническую лабораторию для изготовления протеза.
- Последний этап –– примерка, подгонка и фиксация постоянной коронки на имплант.
- При одномоментном протоколе имплантации все эти процедуры выполняются в течение одного приема.

Рекомендации после установки
Чтобы сократить риск воспаления мягких тканей вокруг импланта, правильно ухаживайте за полостью рта. Чистите зубы дважды в день, особое внимание уделяя межзубным промежуткам. Используйте ирригатор или нить. 2 раза в год посещайте стоматолога для профессиональной гигиены и контроля состояния импланта.
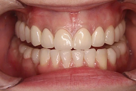
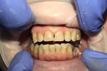
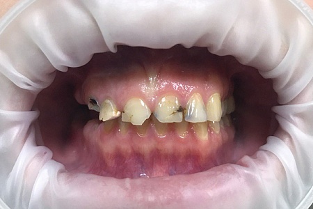
Работы наших врачей

Коронка на импланте или мостовидный протез?
Мостовидный протез устанавливается на место отсутствующих единиц с опорой на здоровые зубы. Метод предполагает обточку соседних зубов, что в дальнейшем приводит к их потере. В отличие от моста, коронка на импланте сохраняет соседние зубы и не требует их обтачивания. Она выигрывает и по сроку эксплуатации –– 20 лет против 10.
Выбирайте «Все свои!»


